10 Spartan research projects that could change the world

By: Liam Boylan-Pett, Deon Foster

As a top global public research university, Michigan State University is built to pursue bold, practical solutions to complicated challenges. From fighting cancer on multiple fronts to developing more sustainable packaging to safeguarding food and water, here are 10 research projects Spartans are working on that could change the future.

Detecting cancer with honeybees

Bee pollinators.jpg
Photo by Nick Schrader

Honeybees could help researchers develop new tests to diagnose lung cancer early. By passing the odors of someone’s breath over the antenna of a honeybee, MSU researchers discovered that honeybees can detect biomarkers or chemical concentrations that have the presence of lung cancer. Led by Debajit Saha, an assistant professor in the College of Engineering and MSU’s Institute for Quantitative Health Science and Engineering, or IQ, the team of researchers also showed that honeybees can distinguish between different lung cancer cell types using only the “smell” of the cell cultures.

Read the full story.

Shampoo-like gel could help chemo patients keep their hair

Losing hair is a common part of cancer treatment, but MSU researchers have developed a shampoo-like gel that could protect hair from falling out during chemotherapy. Developed by Bryan Smith, an associate professor in the College of Engineering and with MSU IQ, the hydrogel is designed to be applied to patients’ scalps from the start of chemotherapy until the drugs have left their system. Currently, there are few solutions to hair loss during cancer treatment — but MSU could be the reason for one more.

Read the full story.

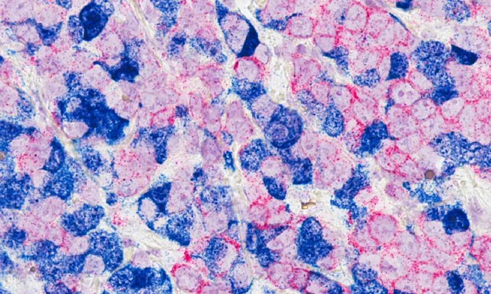
Destroying breast cancer with “smart bombs”

Zoomed in photograph of breast cancer cells, shown in pink and blue coloring for identification
Breast cancer cells. Photo from the National Cancer Institute

MSU researchers are collaborating with a team at the University of California, Riverside to create a new light-activated “smart bomb” to treat aggressive breast cancer. The researchers developed more powerful light-sensitive chemicals to use in a therapy that can penetrate deeper into the body than previously used chemicals — and the “smart bomb” technology is able to kill cancer cells while sparing healthy ones. MSU’s research is led by a wife and husband team: Sophia Lunt is a professor in biochemistry and molecular biology in the College of Natural Science and Richard Lunt is a professor and Johansen-Crosby Endowed Professor in Chemical Engineering in the College of Engineering.

Read the full story.

Developing easier-to-recycle plastics

Researchers from MSU’s School of Packaging and College of Engineering, working with the Pacific Northwest National Laboratory, have created a strong, lightweight multilayer plastic that keeps products fresh while being easier to recycle or even biodegrade. Contemporary multilayer plastic packaging keeps food fresh and pharmaceuticals safe from moisture and oxygen, but most of them are nearly impossible to recycle. In fact, each year the world produces roughly 100 million tons of flexible multilayer plastic packaging that can only be used once. Led by Muhammad Rabnawaz, professor of packaging, Faculty Laureate and director of the National Science Foundation’s Center for Plastic, Paper and Hybrid Packaging End-of-Life Solutions, he and his team are creating high-performance packaging that could change the life cycle of plastic materials we encounter every day.

Read the full story.

Making crops more resilient to changes in climate

20250722_Methane Tractor.GM-004.jpg
Photo by Garret Morgan

The world is changing, and because of rising temperatures, droughts and extreme weather, so are threats to global food production. That’s where MSU comes in: Plant researchers from the College of Natural Science are racing to build climate-resilient crops. From analyzing photosynthesis to studying the chemicals that protect plants and creating natural fungicides and biostimulants as a stopgap to keep crops growing as new varieties are developed, MSU is conducting research that could lead to crops that can feed an ever-growing population.

Read the full story.

Ensuring safer drinking water for the country

Every year in the U.S., more than 7 million cases of waterborne illnesses occur, according to the Centers for Disease Control and Prevention. Led by Jade Mitchell, associate chair and professor in the Department of Biosystems and Agricultural Engineering, a team of MSU researchers is investigating the presence of harmful pathogens like Legionella and the byproducts of disinfection processes in drinking water systems. The goal is to better understand health risks and create a systematic method to monitor water safety when it comes to opportunistic pathogens like Legionella — something that, shockingly, doesn’t exist, even in the U.S.

Read the full story.

Engineering solutions for vulnerable patients

Two people pose next to a chair for the Sit Sense innovation that reduces pressure sores
Tamara Reid Bush and Justin Scott display a chair with Sit Sense technology. Courtesy photo

Limited mobility, which impacts about 2 million people in hospitals, nursing homes and assisted-living facilities, is a threat to patient health. Sit Sense, a patented technology developed at MSU, looks like a regular chair but has embedded pressure sensors and unique movement capabilities; the chair automatically identifies high-pressure regions on the body and repositions patients accordingly, with particular attention to high-risk, pressure-prone areas like the buttocks and lower and upper back. The innovation was developed by Tamara Reid Bush, associate dean for inclusive excellence and professor of mechanical engineering, and Justin Scott, a research associate in the College of Engineering.

Read the full story.

Tiny beating hearts creating life-changing treatments

A colorful microscopic image of a human heart organoid. The image shows various regions highlighted in different colors, including green, purple, blue, and red. The red areas appear to represent blood vessels or neural networks within the organoid.
Courtesy photo

First created at MSU in 2020 and now featuring exciting advancements in their development, patented synthetic human-like hearts allow researchers to study human heart development and congenital heart disease on highly accurate models. Similar in size and development to fetal human hearts, these mini heart organoids are becoming increasingly complex and realistic. Aitor Aguirre, associate professor in the Department of Biomedical Engineering and chief of the Division of Developmental and Stem Cell Biology in MSU IQ, leads the team developing these organoids. He hopes advancements in technology will lead to a new era of treatments for cardiovascular conditions.

Read the full story.

Making lithium-ion batteries safer

Taking cues from nature, researchers are using lignin — a natural ingredient of wood that provides support and stability — to make better lithium-ion batteries. These batteries, which are used in everything from phones to laptops and electric vehicles, do hold a risk of accidental short circuiting and possible fire or explosion. However, a team from MSU has engineered lignin into a thin film separator to prevent short circuits within lithium-ion batteries, which not only increases the overall safety but also improves battery life by 60%. Chengcheng Fang, assistant professor in the College of Engineering and Mojgan Nejad, an associate professor in the College of Agriculture and Natural Resources, led the project.

Read the full story.

Virtual reality expands opportunities for students with disabilities

Researchers in the College of Education have shown that virtual reality can help students with disabilities learn important life skills, like how to cook or shop, and apply them in real-world settings — and expensive VR headsets aren’t necessary. Nonimmersive virtual reality, which are screen-based programs on devices like laptops, rather than headsets, were shown to improve how well students with intellectual and developmental disabilities performed tasks. Emily Bouck, professor and associate dean in the College of Education, said, “Technology like nonimmersive VR holds great promise for leveling the playing field, especially in rural areas where resources are scarce.”

Read the full story.

Discover how MSU is conducting federally funded research for you.

MEDIA CONTACTS

MSU ResearchMSU Leadership and ImpactEngineeringEngineering, Science and TechnologyClimate and Climate SolutionsClimate and Environment